Smile Gallery


From wanting a change to loving his smile — porcelain crowns transformed Benjamin’s teeth and confidence.


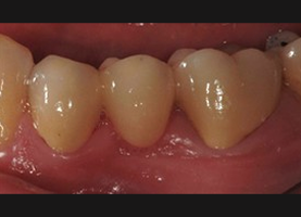
Cathy’s smile is back — and the pain is gone.
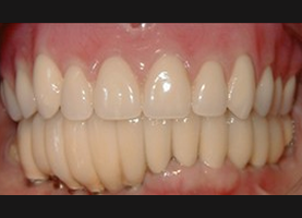
Implants on the upper and lower gave her stability, confidence, and a brand-new reason to smile every day.


Catherine trusted us to rebuild her smile with porcelain crowns and bridges, and the transformation says it all. Strong, stable, and beautifully natural.


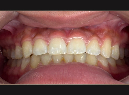
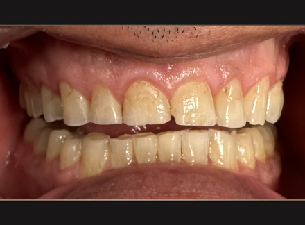
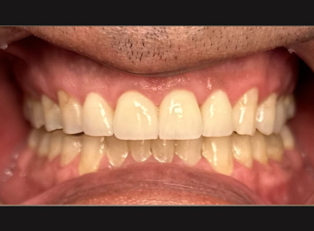
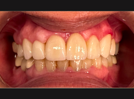
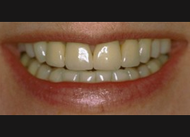
Daniella wasn’t happy with her smile — especially her front tooth that was very misaligned.
Invisalign corrected everything, and now her smile is beautifully balanced.


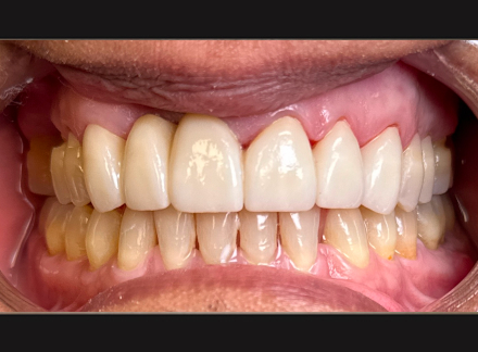
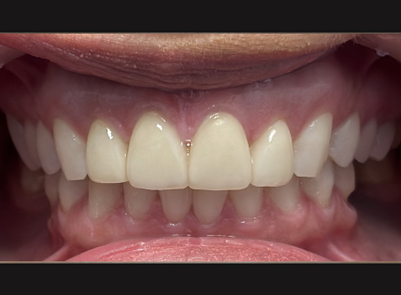
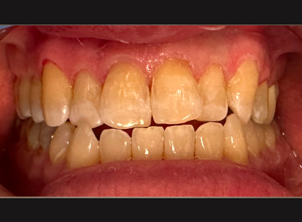
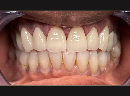
Francisco had porcelain crowns done to restore the form and function he lost from years of grinding. His smile is stronger, healthier, and finally comfortable again.


Farah got the ultimate smile makeover with veneers — non-invasive, natural, and she truly can’t stop smiling.


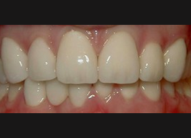
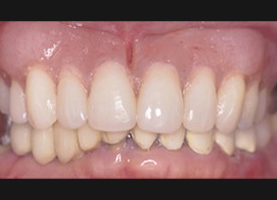
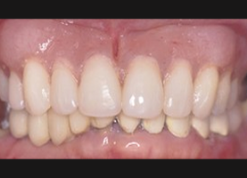
From spacing issues to misshapen teeth, Guadalupe struggled with her smile… until ceramic crowns transformed it completely.


Hansel was ready for a real, long-term change. Ceramic crowns and a ceramic bridge restored his smile, and he hasn’t stopped smiling since.


Hansel was ready for a real, long-term change. Ceramic crowns and a ceramic bridge restored his smile, and he hasn’t stopped smiling since.


Herlinda wanted a smile where every tooth matched — ceramic crowns and bridges made it happen.
A complete smile makeover with natural, seamless results.


Isaiah’s Invisalign treatment was simple and gentle, but the impact was huge.
A smile upgraded for life.


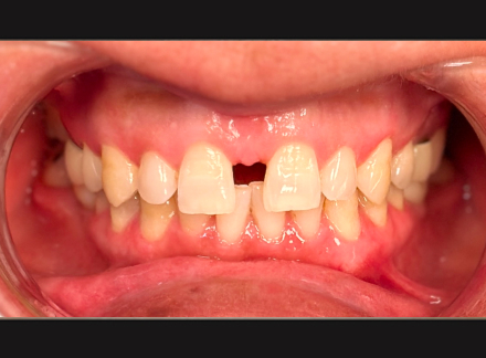
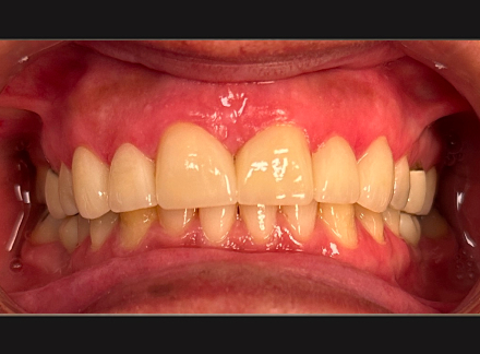
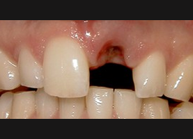
After living with missing front teeth for years, Jane finally found her solution at Solace Dental.
A permanent ceramic bridge restored her smile beautifully.


Mohammad came to us looking for a complete smile makeover. After reviewing his concerns, we created a custom plan using multiple ceramic crowns and bridges — and the transformation is incredible.


Maribel wanted a simple solution for her broken, chipped teeth — porcelain veneers fixed her smile beautifully. Simple but so effective.


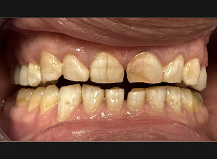
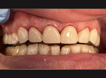
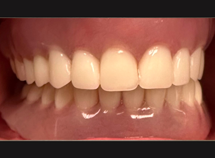
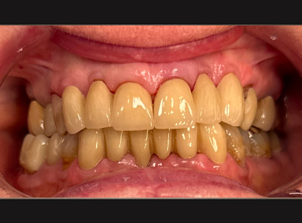
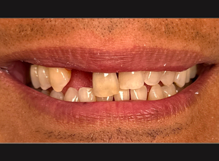
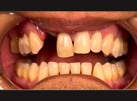
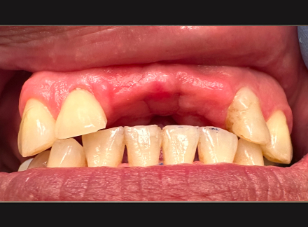
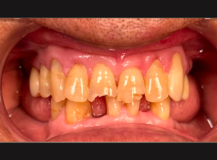
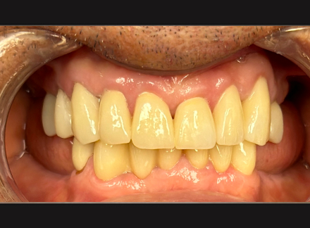
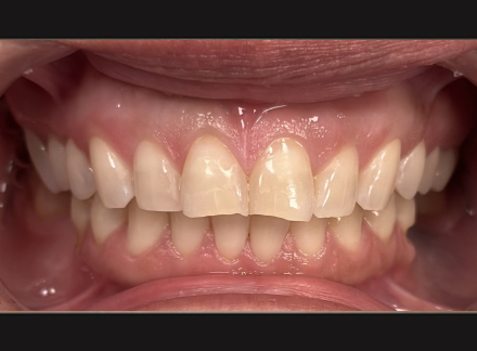
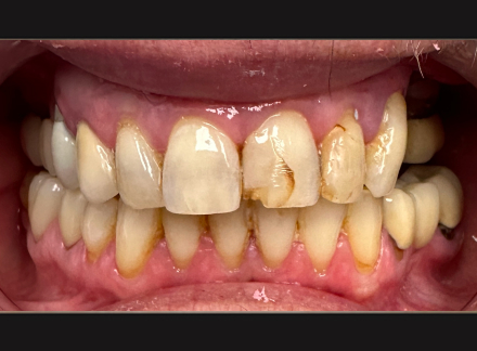
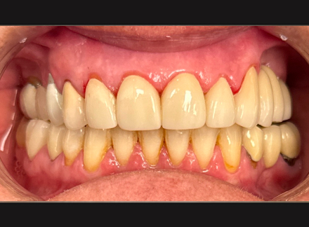
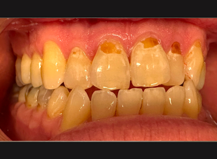
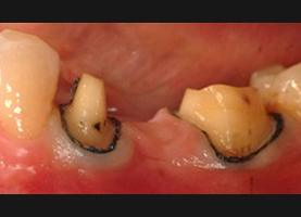
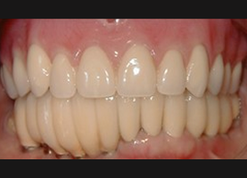
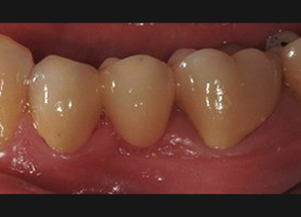
Pamela had multiple broken teeth, failing restorations, and several missing teeth.
We rebuilt her smile with ceramic crowns, bridges, and implant crowns — a complete transformation she truly deserves.


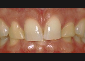
John needed a conservative solution for his front teeth.
Bonding fixed the cavities and gave him a clean, natural-looking smile.


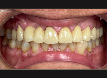
Sharon wanted a smile that matched the new chapter in her life.
Ceramic crowns and bridges rebuilt her teeth, restored her confidence, and now she’s smiling nonstop


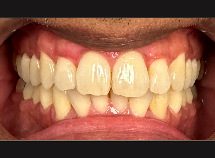
Sometimes the smallest change makes the biggest difference.
Conservative porcelain veneers transformed Wendy’s smile and energy.

